Book Appoinment

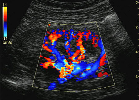
Colour Doppler

A Doppler ultrasound is an imaging test that uses sound waves to show blood moving through blood vessels. A regular ultrasound also uses sound waves to create images of structures inside the body, but it can't show blood flow.

Doppler ultrasound works by measuring sound waves that are reflected from moving objects, such as red blood cells. This is known as the Doppler effect.

Types of Doppler Ultrasound Tests

There are different types of Doppler ultrasound tests. They include :

  • Color Doppler : This type of Doppler uses a computer to change sound waves into different colors. These colors show the speed and direction of blood flow in real time.
  • Power Doppler : a newer type of color Doppler. It can provide more detail of blood flow than standard color Doppler. But it cannot show the direction of blood flow, which can be important in some cases.
  • Spectral Doppler : This test shows blood flow information on a graph, rather than color pictures. It can help show how much of a blood vessel is blocked.
  • Duplex Doppler : This test uses standard ultrasound to take images of blood vessels and organs. Then a computer turns the images into a graph, as in spectral Doppler.
  • Continuous wave Doppler : In this test, sound waves are sent and received continuously. It allows for more accurate measurement of blood that flows at faster speeds.
Book Your Appointment
on Whatsapp